Con el comienzo de la temporada del esquí y el snowboarding, llegan también las lesiones. Desde Clínica DKF te contamos cuáles son las lesiones más frecuentes en los deportes de invierno, pero también te damos las mejores recomendaciones para prevenirlas.
Lesiones del hombro
Las lesiones del miembro superior en la práctica del snowboarding son más frecuentes, casi el doble, que en la del esquí. El número de lesiones probablemente esté infradiagnosticado ya que muchas de estas lesiones son menores y no precisan de una consulta urgente en la estación de esquí pasando a ser atendidos en su lugar de origen.
Las lesiones de hombro constituyen entre un 4 y un 11 por ciento de las lesiones de esquí alpino y entre un 22 y un 41 por ciento de lesiones del miembro superior, esto es, de codo y muñeca. La mayor parte de las lesiones del hombro son secundarias a traumatismos por caídas, seguido por el mecanismo de plantar el palo o de maniobras aéreas del snowboarding.
Las lesiones más típicas incluyen tendinitis del manguito rotador, luxación glenohumeral (hombro), luxación acromioclavicular y fracturas de clavícula. De estas lesiones, sólo las fracturas de húmero y de clavícula han aumentado en estudios epidemiológicos recientes, probablemente debido a la mayor velocidad que consiguen los deportistas gracias a los nuevos materiales.

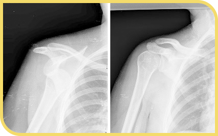
Radiografía derecha: relación normal de los huesos tras la maniobra de reducción.
La mayor parte de estas lesiones suelen tratarse de forma aguda con la inmovilización del hombro en un cabestrillo. El tratamiento es urgente en la luxación glenohumeral que requiere de una reducción de la articulación. El conocimiento y atención del personal de pista ha mejorado mucho en los últimos años y suelen ser capaces de reconocer y reducir la lesión en pista.
Sin embargo, algunas de estas lesiones pueden producir una fractura asociada y es recomendable realizar pruebas radiológicas adicionales para identificar estas lesiones. La mayoría requieren de un tratamiento mediante inmovilización y rehabilitación posterior. Otras lesiones, sin embargo, terminarán necesitando de una intervención quirúrgica.
Desde Clínica DKF recomendamos que la revisión se realice por un especialista en lesiones de hombro, en este caso por nuestro traumatólogo el Dr. Raúl Barco, por las siguientes razones: (i) la complejidad de algunas de las lesiones (se asocian una o más lesiones con frecuencia), (ii) la complejidad técnica de algunas de las soluciones quirúrgicas y (iii) para recibir un tratamiento postlesional adecuado (habitualmente una buen readaptación y recuperación fisioterapéutica).
Lesiones de rodilla
La rotura de ligamento cruzado anterior (LCA) es la lesión de rodilla más frecuente, seguida de la lesión del ligamento lateral interno y la lesión de meniscos.

No menos importante, es la lesión conocida como pulgar del esquiador, una rotura de un ligamento de la base del pulgar (Ligamento Colateral Cubital de la articulación Metacarpo-Falángica).
La lesión en la tibia suele darse como consecuencia de la rotación de la rodilla sobre el tobillo sujeto por la bota.
Las lesiones del fémur suelen deberse a caídas de gran intensidad.
Otra lesión frecuente que suele darse mayormente tras una caída son los edemas óseos.
Nuestro traumatólogo especialista en rodilla, el Dr. Diego García-Germán, no sólo es un referente en su especialidad como cirujano artroscópico, sino que es el director médico y traumatólogo de la Real Federación Española de Deportes de Invierno (RFEDI) teniendo un conocimiento único de estas lesiones deportivas.
Recomendaciones para intentar evitar o prevenir lesiones
Las recomendaciones, entre otras, para intentar evitar las lesiones previamente descritas son:
- Conocimiento técnico específico del deporte que se vaya a practicar.
- Una buena preparación física previa a la temporada.
- Contar con una buena equipación que esté en buen estado.
- Hidratarse correctamente a lo largo de la jornada.
- Realizar un descanso nocturno adecuado.
- Vigilar la velocidad.
- Respetar las normas de seguridad de las pistas.
Nuestra Unidad de Hombro y Codo y nuestra Unidad de Rodilla velan por un tratamiento integral y personalizado para cada paciente.
Si estás interesado, recuerda que lo más importante es verte con un equipo profesional. Haz click aquí para pedir una cita.


